Water Street Healthcare Partners Exits OraPharma

arestin1

Valeant Pharmaceuticals International announced today that it has agreed to acquire OraPharma, a specialty oral health company and a portfolio company of Water Street Healthcare Partners. Total consideration is approximately $312 million and up to $114 million in potential contingent payments based on certain milestones, including revenue targets. As of March 31st, 2012 OraPharma’s trailing twelve month net revenue was approximately $95 million with the business growing at a high single digit rate.

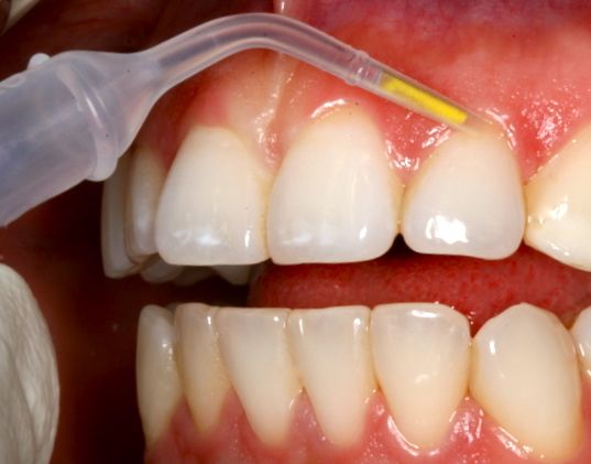
OraPharma is a specialty oral health company that develops and commercializes products that improve and maintain oral health. OraPharma’s lead product is Arestin, a locally administered antibiotic for the treatment of periodontitis that utilizes a controlled-release delivery system and is indicated for use in conjunction with scaling and root planing for the treatment of adult periodontitis. The company is based in Horsham, PA (www.orapharma.com).

Water Street Healthcare Partners is a Chicago-based private equity firm focused exclusively on healthcare. The firm has more than $1 billion of capital under management. The firm has particular expertise in corporate divestitures from healthcare companies (www.waterstreet.com).

Valeant Pharmaceuticals International is a multinational specialty pharmaceutical company that develops, manufactures and markets a range of pharmaceutical products primarily in the areas of neurology, dermatology and branded generics. The company is based in Montreal (www.valeant.com).